Sykdom i munnhulen

De fleste forbinder tannlegebesøket med en sjekk etter hull i tennene. Man må imidlertid ikke glemme at det finnes utallige andre tilstander og sykdommer som kan komme fra - eller vise seg i munnhulen.

Gingivitt: betennelse i tannkjøttet som medfører hevelse, ømhet og blødning ved berøring. Vil oftest gå over ved grundigere renhold over tid. Se mer om gingivitt.

Periodontitt: betennelse i tennenes støttevev som kan få tennene til å løsne. Ca. 10 % av den voksne befolkningen i Norge er disponert for alvorlige former for periodontitt. Se mer om periodontitt.

Diverse sårdannelser: f.eks. after eller herpessår, varer noen dager og forsvinner av seg selv. Sår med varighet over 2 uker bør kontrolleres hos lege eller tannlege.

Slimhinneforandringer: f.eks. Lichen Planus kan ha ulike overflater og farge (rødlig eller hvit). Bør følges med på, eventuelt ta biopsi dersom mistanke om ondartet utvikling.

Sopp: f.eks. Candida Albicans, kan opptre for eksempel etter langvarige antibiotikakurer eller ved nedsatt immunforsvar.

Kreft: ta kontakt med tannlege eller lege dersom du oppdager sårdannelser som ikke vil gro. Vil ofte opptre i forbindelse med tunge eller leppe.

Infeksjoner: kan f.eks. komme fra tenner med hull inn til nerven, delvis frembrudte visdomstenner eller ved periodontitt (sykdom som får tenner til å løsne). Kjennetegnes ved hevelse, rødhet, smerte, pussdannelse. Kan også forekomme feber og nedsatt allmenntilstand. Bør i første omgang behandles ved at puss dreneres, eventuelt i kombinasjon med antibiotika.

Skader etter snus: slimhinneforandringer vil vanligvis normaliseres dersom man slutter å snuse, større skader f.eks. i tannkjøttet vil være permanente. Se mer om snus.

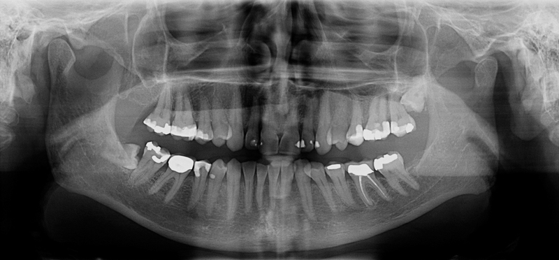
Kjevecyster: kan være vanskelige å oppdage på annen måte enn ved røntgenbilder.

Dette er bare en liten del av de tilstandene man kan finne i munnhulen, men de alvorlige tilstandene er heldigvis noe man sjelden får. Det anbefales likevel at man får munnen kontrollert regelmessig hos tannlege eller tannpleier.