Ising/børsteskader

Mange er i perioder plaget med ising i tennene. Den vanligste årsaken til slike plager er følsomme tannhalser.

Følsomme tannhalser

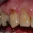
Figur I viser en tann i snitt med normale tannkjøttsforhold. Vi ser at tannkjøttet ligger tett inntil tannkronen. Feil bruk av tannbørsten kan over tid få tannkjøttet til å trekke seg tilbake (fig. II). Den blottlagte rotoverflaten er ikke beskyttet av emalje, og vil ofte være følsom for kaldt, syrlig eller ved berøring, for eksempel ved tannbørsting.

Fig 1: Tann i snitt med normale tannkjøttsforhold Fig 2: Feil bruk av tannbørsten kan over tid få tannkjøttet til å trekke seg tilbake Fig 3: På lengre sikt kan feil børsteteknikk medføre slitasjeskader på selve tannen Fig 4: Dersom skaden blir dyp, kan det bli nødvendig å restaurere tannen med en fylling

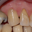
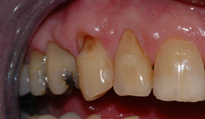
På lengre sikt kan feil børsteteknikk medføre slitasjeskader på selve tannen (fig III). Dersom skaden blir dyp, kan det bli nødvendig å restaurere tannen med en fylling (fig IV).

For å lindre følsomme tannhalser kan man:

  • Illustrasjon av tannbørste Børste skånsomt og bruke mykere tannbørste.
  • Skylle med fluorskyll daglig.
  • Bruke spesialtannkrem mot ising. Tannlegen eller tannpleieren kan komme med gode råd om hvilken tannkrem som bør benyttes.
  • Ikke skylle ut tannkremen etter børsting, men la den virke i munnen.
  • Smøre spesialtannkrem mot ising på den følsomme tannhalsen, og la den virke på tannen.
  • Få behandlet tannhalsen med effektiv fluorlakk hos tannlege eller tannpleier.


Illustrasjon av fluorAndre årsaker til ising i tennene

Dype eller utette fyllinger, større kariesangrep og sprekkdannelser i tennene kan også medføre ising. Ofte vil tannlegen kunne løse problemet ved å legge en tett fylling i tannen. Dersom nerven er for skadet, kan det være nødvendig å rotfylle tannen først.