Tannfraktur

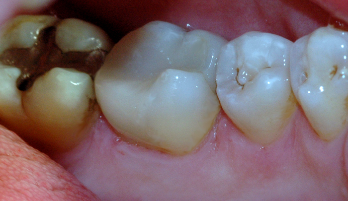
I tenner med store fyllinger, er tannsubstansen rundt fyllingen svekket. Når man tygger, kan det etter hvert utvikles tynne sprekker og tannen kan knekke. Fyllinger kan også knekke, spesielt hvis de er svekket av hull i kanten av fyllingen.

Tenner med store fyllinger

I tenner med store fyllinger, er tannsubstansen rundt fyllingen svekket. Når man tygger, kan det etter hvert utvikles tynne sprekker i tannen. Disse sprekkene utvikler seg under fyllingen og forløper vanligvis på skrå bort fra tannnerven. Over tid kan slike sprekkdannelser medføre at en del av tannen knekker og faller ut. I noen tilfeller knekker tannen fordi man tygger på noe hardt, men ofte er dette ikke tilfelle. Det er heller den totale belastningen over tid som er utslagsgivende og tidspunktet for tannfrakturen er ofte tilfeldig.

Dersom en tann knekker på denne måten, bør man kontakte tannlege snarest for å få den reparert.

Fig 1: I tenner med store fyllinger kan det utvikles sprekker som medfører at tannen knekker Fig 2: I tenner med store fyllinger kan det utvikles sprekker som medfører at tannen knekker Fig 3: I tenner med store fyllinger kan det utvikles sprekker som medfører at tannen knekker Fig 4: I tenner med store fyllinger kan det utvikles sprekker som medfører at tannen knekker

Rotfylte tenner

Tenner som er rotfylt, eller som er under rotfyllingsbehandling, er særlig utsatt for å knekke. Slike tenner har ofte hatt store og dype hull som er reparert med fyllinger. Den gjenstående tannsubstansen vil derfor være svekket. Når tannen skal rotfylles, må det i tillegg lages en åpning inn til nerven som vil medføre en ytterligere svekkelse av tannen. Man ser også at tannen ”tørker ut” når nerven er renset bort, noe som kan bidra til en utvikling av allerede eksisterende sprekkdannelser.

En tann som er underveis i rotfyllingsbehandling, er fylt med en bakteriedrepende salve og tettet igjen med en midlertidig fylling. Dersom noe av tannen eller den midlertidige fyllingen knekker, er det fare for at nye bakterier kan komme inn og infisere tannen på ny. Man bør derfor snarest ta kontakt med tannlege hvis dette skulle skje.

Fylling som knekker

På samme måte som tenner, kan også fyllinger knekke. Dette kan for eksempel skje om man er uheldig og belaster fyllingen for hardt ved tygging. Ofte ser man imidlertid at fyllingen da er svekket i forkant, for eksempel ved at den har et hull i kanten. En fylling med hull i kanten vil tåle mindre tyggetrykk og knekke lettere.

Det er viktig å kontakte tannlege snarest om man har en knekt fylling. Dette er særlig viktig dersom den frakturerte fyllingsbiten blir liggende på plass. Det vil da være umulig å holde rent og et eventuelt hull under fyllingen vil raskt bli større.

Behandling av knekt tann

Fyllingsterapi

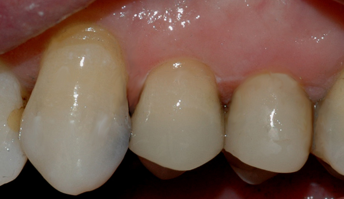
I mange tilfeller kan en knekt tann repareres med en fylling. Man vil først fjerne den gamle fyllingen i tannen og deretter bygge opp med en tannfarget fylling i plast (kompositt).

Fig 5: Ved fyllingsterapi fjerne man først den gamle fyllingen i tannen Fig 6: Deretter bygger man opp med en tannfarget fylling i plast (kompositt).

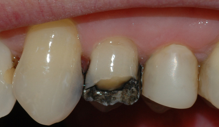
Porselensinnlegg

Et innlegg er en tannrestaurering som kan brukes som et alternativ til tannfargede fyllinger i plast. Det benyttes til å reparere tenner som er frakturert eller skadet av et hull. Først må tannen slipes til. Det tas så et avtrykk før tannen dekkes med et midlertidig fyllingsmateriale. Avtrykket sendes deretter til en tanntekniker som er den som lager selve innlegget. Etter 1-2 uker er innlegget ferdig og kan sementeres på plass. Et innlegg regnes som en mer holdbar behandling, sammenlignet med en vanlig fylling i plast.

Fig 7: Et porselensinnlegg er et alternativ til tannfargede fyllinger i plast Fig 8: Først må tannen slipes til Fig 9: Det tas så et avtrykk før tannen som sendes til tanntekniker Fig 10: Etter 1-2 uker er innlegget ferdig og kan sementeres på plass

Kroneterapi

Dersom tannen er svært svekket, kan det vise seg at en stor fyllingsoppbygging ikke vil være sterk nok. Dette kan særlig gjelde for rotfylte tenner. Da kan en krone være et bedre alternativ. Å få fremstilt en krone innebærer at tannen slipes og formes til slik at kronen kan sementeres utenpå.

Kronen lages av en tanntekniker og er sterkere og penere i forhold til en vanlig fylling. Prosessen er imidlertid tidkrevende og teknisk vanskelig både for tannlegen og tannteknikeren. Det er derfor prisen for en krone er høyere enn for en vanlig fylling.

Fig 11: Dersom tannen er svært svekket kan en krone være et bedre alternativ Fig 12: Tannen slipes og formes til slik at kronen kan sementeres utenpå Fig 12: Etter ca. 1-2 uker er den permanente kronen ferdig og kan sementeres på plass Fig 13: En krone er sterkere og penere i forhold til en vanlig fylling