Syreskader
Syreskader på tennene er et økende problem i dagens samfunn. Kostholdet har endret seg, og både mat og drikke kan inneholde skadelige syrer. Hyppig inntak av brus, juice og sportsdrikker kan over tid gi store skader på tennene. Det samme gjelder for ulike typer av frukt, for eksempel sitrusfrukter.
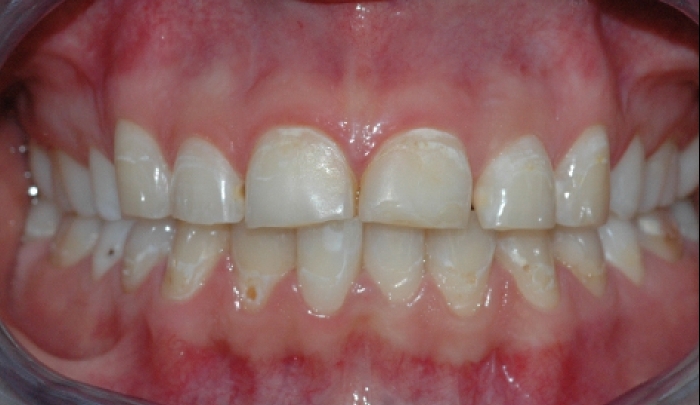
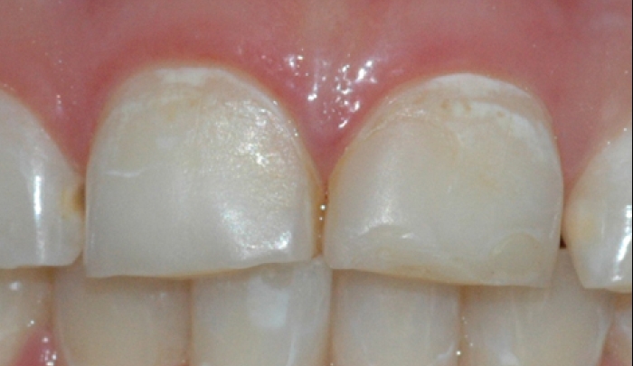
Typiske tegn på syreskader
- tynnslitt emalje
- ising i tennen
- hakk/groper i emaljen
- tenner med gulere felter og mattere overflate
Syreskader er permanente og det er derfor viktig at de oppdages tidlig.
Slik kan man sette inn tiltak for å forhindre alvorlige skader på tennene.


Hvordan beskytte tennene mot syreskader?
- Unngå småspising mellom måltidene.
- Avslutt måltidet med basiske matvarer som f.eks. ost eller melk.
- Drikk mindre brus, juice og syreholdige sportsdrikker.
- Det kan være lurt å skylle munnen med vann etter inntak av syrlig mat og drikke.
- Vent en time med å pusse tennene etter inntak av syrlig mat og drikke.
- Bruk myk tannbørste og ikke børst for hardt.
- Skyll regelmessig med fluor. Fluor vil styrke emaljen og forebygge videre skader.
Hyppige sure oppstøt og spiseforstyrrelser som medfører oppkast kan også gi syreskader på tennene.
Om du lider av dette, bør fastlegen kontaktes.
Omfattende syreskader der mye emalje er gått tapt, kan være kostbart å reparere.
Det er derfor lurt å være tidlig ute og stanse utviklingen av disse skadene.