Snusbruk

De senere årene har antall røykere blitt redusert i Norge. Samtidig har man sett en kraftig økning i snusbruken. Snus inneholder mange kjemiske stoffer, deriblant nikotin, som tas opp i kroppen gjennom slimhinnen der snusen ligger.

 Tre porsjonsposer med snusPå samme måte som røyketobakk, er snus avhengighetsskapende og det kan være like vanskelig å slutte å snuse som å stumpe røyken. Snus består av spesielle tobakkssorter tilsatt blant annet vann, salt og forskjellige smaksstoffer. Mange av de kjemiske stoffene som snusen inneholder kan være kreftfremkallende.

Skader ved snusbruk

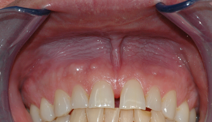
Slimhinnen der snusen ligger, reagerer ved å bli rød og irritert. Etter lengre tids fast snusing blir slimhinnen hvitlig, fortykket og rynkete. Om man slutter å snuse, vil slike forandringer normaliseres etter en tid.

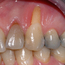
Tannkjøttet kan også påvirkes av snusbruk. Man kan etter hvert se at tannkjøttet trekker seg tilbake og etterlater en blottlagt rotoverflate der snusen ligger. Selv om man slutter å snuse, vil tannkjøttet ikke komme på plass igjen. Dette er altså en permanent skade. I tillegg påvirker nikotin blodtilførselen i tannkjøttet og kan øke sjansen for at infeksjoner oppstår.

Når det gjelder tennene, vil disse kunne misfarges som følge av snusing. Både sprekkdannelser i emaljen og overgangen mellom tenner og fyllinger er steder der fargestoffer fra snusen vil kunne sette seg og bidra til et skjemmende smil.

Påvirkning på generell helse

Undersøkelser viser stort sett at snusing er mindre skadelig enn røyking. Det er likevel grunn til å ta snusrelaterte helseskader på alvor. Man har blant annet funnet at snusbruk sannsynligvis øker risikoen for høyt blodtrykk.

Det er også undersøkelser som viser en sannsynlig økt risiko for diabetes type 2 og hjerte- og karsykdommer ved langvarig bruk av snus.

Videre tyder det på at man har en økt risiko for utvikling av kreft i munnhule, spiserør og bukspytt-kjertel ved snusing. Det er mulig at snus øker risiko for kreft i endetarmen og magesekken. Det er også muligheter for at snusbruk øker dødeligheten etter en kreftdiagnose.

Det er en sannsynlig økt risiko for tidlig fødsel (prematur fødsel), for kvinner som bruker snus i svangerskapet.

Slutte å snuse

Snakk med fastlege, apotek og tannhelsepersonell som vil kunne gi gode råd og veiledning til slutt med snus. Nikotinlegemidler som nikotinplaster, nikotintyggegummi eller reseptbelagte medikamenter kan brukes for best mulig effekt. Slike medikamenter demper abstinensplager, slik at overgangen til en røykfri tilværelse går lettere.

Frisklivssentralen kan hjelpe til slutt med snus, gjennom individuell veiledning og kurs. Frisklivssentralen er en kommunal helsetjeneste. Kontakt frisklivssentralen i kommunen din dersom du ønsker å få hjelp til slutt med snus. Oversikt over hvilke kommuner i Rogaland som har frisklivssentral finner du her.

Helsedirektoratet har utviklet en app, Slutta, som kan være et godt hjelpemiddel for å slutte med snus. Denne appen gir deg daglige motivasjonsmeldinger, råd og tips, beregninger relatert til hvor mye du sparer, oppdateringer på antall dager uten snus, oversikt over giftstoffer i snus og fakta om konsekvenser av tobakksbruk. Mer informasjon om og tilgang til Slutta-appen finner du på Helsedirektoratet.

Råd til slutt med snus

  • Forbered deg til og planlegg en sluttdato. Om du planlegger en sluttdato noen uker frem i tid, er sjansen større for å gjennomføre slutt med snus.
  • Øve på å være uten snus i perioder før sluttdato, og gjerne lage mindre «priser» dersom du bruker løssnus. Det er også mulig å legge noe annet under leppen i perioden før snusslutt, som for eksempel en pastill eller nikotintyggegummi.
  • Når du slutter – slutt helt! Dette er viktigst for at du skal lykkes med slutt av snus.
  • Bruk nikotinlegemiddel eller reseptbelagte for å lindre abstinensplager. Det er også lurt å drikke mer vann enn vanlig og spise næringsrik mat regelmessig for å holde blodsukkeret stabilt. Det hjelper også å være fysisk aktiv.
  • Oppsøk hjelp dersom du ikke klarer å slutte på egen hånd. Både veiledning og kurs på frisklivssentralen i din kommune og Slutta-appen kan være til stor hjelp. Slutta er også tilgjengelig på Facebook, der andre som har røykeslutt deler erfaringer og tips.

For mer informasjon om slutt med snus se Helsenorge.

Tobakkskampanje rettet mot unge omfatter både røyk, snus og vape:

Generasjon FRI - Helsedirektoratet