Implantater

Et implantat er en liten skrue i titan som opereres inn i kjevebeinet der det mangler en tann. Oppå denne festes en krone, bro eller avtagbar protese.

Hva er et implantat?

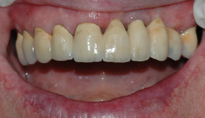
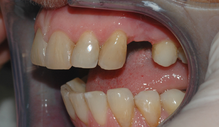
Et implantat er en liten skrue i titan som opereres inn i kjevebenet der det mangler en tann(fig I-II). I løpet av noen uker tilheler kjevebenet rundt implantatet, slik at implantatet kan fungere som feste for en tannerstatning, f.eks. en krone (fig. III-IV). Moderne implantatbehandling er sikker og trygg behandling med svært god holdbarhet og prognose.

Implantatbehandling er en prosess som krever grundige forundersøkelser og nøye planlegging. Behandlingen strekker seg som regel over flere uker og krever mange tannlegebesøk.

Fig 1: Et implantat opereres inn i kjevebenet der det mangler en tann Fig 2: Et implantat opereres inn i kjevebenet der det mangler en tann Fig 3: Kjevebenet tilheler rundt implantatet, slik at implantatet kan fungere som feste Fig 4: Kjevebenet tilheler rundt implantatet, slik at implantatet kan fungere som feste

Behandlingen trinn for trinn

  1. Innsetting av implantat (fikstur). Operasjonen utføres under lokalbedøvelse og er smertefri. Resept på penicillin og smertestillende tabletter gis vanligvis før operasjonen. Etter inngrepet vil man motta mer utfyllende informasjon. Slik vet man hvordan man skal forholde seg i tiden etter operasjonen.
  2. Tilhelingsperiode. Det tar vanligvis 8 - 12 uker før implantatet kan belastes. Som regel er tilhelingsperioden kortere i underkjeven enn i overkjeven.
  3. Montering av distanse. Distansen monteres som en forlengelse av implantatet og skal fungere som feste for tannerstatningen.
  4. Fremstilling og montering av tannerstatning. Dette krever to eller flere tannlegebesøk alt etter hvilken type tannerstatning som skal lages.

Hva koster implantatbehandlingen?

Implantatbehandling er omfattende og kostbar behandling. Man bør derfor motta et skriftlig kostnadsoverslag før behandlingen starter. Generelt kan man si at prisen avhenger av antall implantater som skal settes inn og hvilken konstruksjon som skal festes til implantatene.

Implantatbehandling kan brukes til følgende:

  • Erstatte én tann. Man unngår da å slipe ned nabotennene for å få feste til en vanlig bro. Dette er særlig en fordel der nabotennene er uten hull og fyllinger.
  • Erstatte flere tenner. Man kan da operere inn to eller flere implantater og feste en keramisk bro på disse.
  • Erstatte alle tennene i kjeven. Implantatene vil da fungere som feste for en helprotese eller for en større keramisk bro. Denne typen konstruksjon har flere fordeler i forhold til en vanlig protese.

Hvem kan få implantater?

De aller fleste kan få satt inn implantater og høy alder er i seg selv ingen hindring. En grundig forundersøkelse er likevel nødvendig før behandlingen settes i gang. Man tar røntgenbilder for å vurdere kjevekammens høyde og kvalitet og munnhulen må være fri for infeksjoner og tann-løsningssykdom (periodontitt).

For å gjøre inngrepet så trygt som mulig, er det også viktig med oppdaterte helse-opplysninger. Man må derfor gi beskjed om:

  • medisiner Illustrasjon av førstehjelpskoffert
  • sykdommer
  • allergier
  • unormal blødningstendens
  • tidligere komplikasjoner i forbindelse med tannbehandling
  • graviditet
  • angst for tannbehandling

Mulige komplikasjoner ved implantatbehandling

Den første tiden etter innsetting av implantatet vil man kunne oppleve en viss hevelse og blåmerker i ansiktet. Dette er normalt, særlig dersom flere implantater settes inn på samme tid. Nummenhet i operasjonsområdet kan også forekomme, men dette er med svært få unntak forbigående.

Enkelte er disponert for å få tannløsningssykdom (periodontitt). Nedbrytning av kjeveben kan også forekomme rundt implantater og kalles da peri-implantitt. Dette kan i verste fall medføre at implantatet løsner og må fjernes.

Merk også at implantatskruen ikke har samme fasong som en tannrot, og at det derfor kan være vanskelig å gi overgangen mellom implantat og krone et naturlig utseende.

For å få best mulig prognose må man:

  • Ha munnen fri for infeksjoner og periodontitt før implantatbehandling utføres.
  • Slutte å røyke.
  • Holde grundig rent rundt implantatene. Husk at kravene til munnhygiene og regelmessige kontroller hos tannlegen er de samme som for naturlige tenner.

Den nye tannerstatningen utsettes daglig for store krefter ved tygging. Dette kan over tid føre til at biter av porselen eller plast knekker av. Dersom estetikk eller funksjon forringes vesentlig, kan det være nødvendig å fremstille en ny krone, bro eller protese.