Bro

En bro er en tannrestaurering som kan brukes til å erstatte én eller flere tenner.

Framstilling av en bro

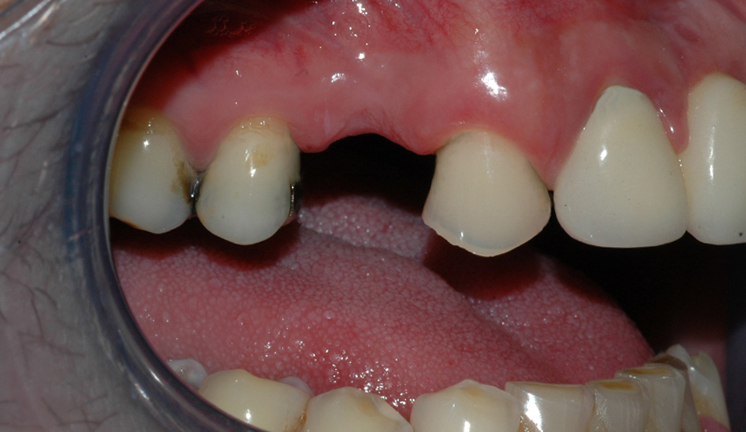
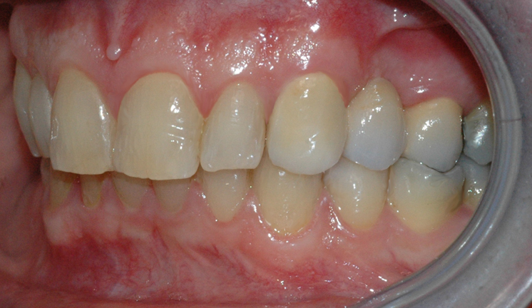
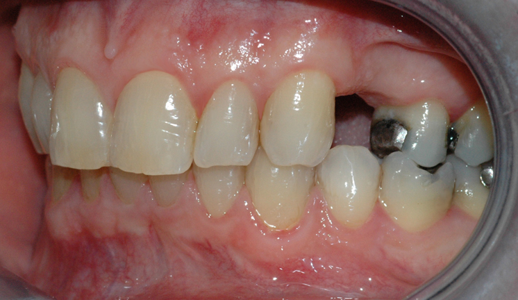
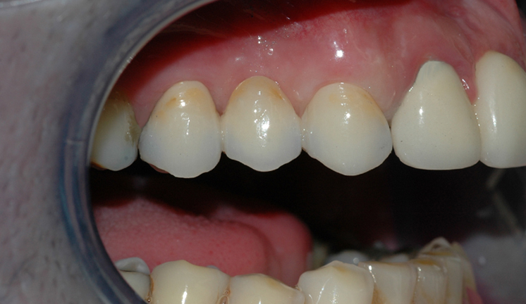
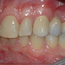
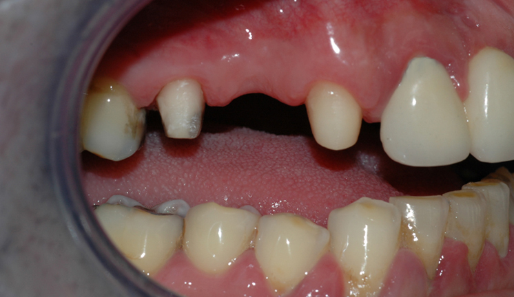
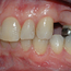
Dersom én eller flere tenner mangler (fig. I), kan disse i en del tilfeller erstattes ved hjelp av en bro. Tannlegen sliper og former til nabotennene, som skal fungere som feste for broen (fig. II). Det tas deretter et avtrykk før de slipte tennene dekkes med en midlertidig bro. Etter 1-3 uker er den permanente broen ferdig og kan sementeres fast på tennene (fig. III og IV). Broens farge og fasong er tilpasset de andre tennene og resultatet blir derfor pent.

Prosessen med å lage en bro er krevende og teknisk vanskelig både for tannlegen og tannteknikeren.

Hva er broen laget av?

Det finnes flere ulike typer broer og disse har forskjellige egenskaper når det gjelder styrke og estetikk. De to vanligste typene er helkeramiske broer (rene porselensbroer) og broer med en innerkjerne av metall med porselen (keramisk materiale) brent utenpå.

Hvor lenge varer en bro?

Det er meningen at en bro skal vare i mange år. Likevel er det en del forhold som kan forkorte broens levetid:

  • Brudd av porselen: En bro blir ved tygging utsatt for store krefter. Uheldige belastninger kan over tid føre til at biter av porselenet knekker av. Dette har normalt ingen praktisk betydning og kan i noen tilfeller repareres. Dersom funksjon eller estetikk forringes vesentlig, kan det være nødvendig å lage en ny bro.

  • Karies: Det kan ikke bli hull i selve broen. Derimot kan det bli hull i tannen nedenfor broens avslutning. Vanligvis kan slike hull repareres med en fylling, men dersom hullet er stort kan broen løsne eller festetennene knekke. Det vil da kunne være nødvendig med ny behandling.

  • Tannsmerter/rotfylling: En del tenner med dype hull og store fyllinger kan etterhvert få redusert blodsirkulasjon i nerven. De er derfor mer utsatt for betennelser og infeksjoner som kan medføre tannsmerter. Dette gjelder også tenner som er beslipt og påsatt en bro. For å rotfylle en festetann i en bro, må man borre en åpning gjennom broen og inn til nerven. Åpningen tettes igjen med en fylling etter at tannen er ferdig rotfylt.

For å ta best mulig vare på broen, bør du:

  • Illustrasjon av tannbørsteBruke tannbørste nøye, men skånsomt i tannkjøttskanten slik at tannkjøttet ikke skades og trekker seg tilbake. En slitt tannbørste er lite effektiv. Bytt derfor tannbørsten når busten begynner å sprike.
  •  Illustrasjon av mellombørsterHolde grundig rent også mellom tennene. Bruk tannstikker, tanntråd/superfloss eller mellomromsbørster mellom tennene i broen. Mellomromsbørster kommer i ulike størrelser og brukes på tilsvarende måte som tannstikker. Tannlegen eller tannpleieren kan finne ut hvilken størrelse du bør bruke.
  •  Illustrasjon av fluorSkylle regelmessig med fluor for å unngå karies i kanten av broen. Fluor styrker tennene og er derfor viktig for å forebygge karies.