Gingivitt

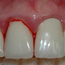
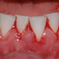
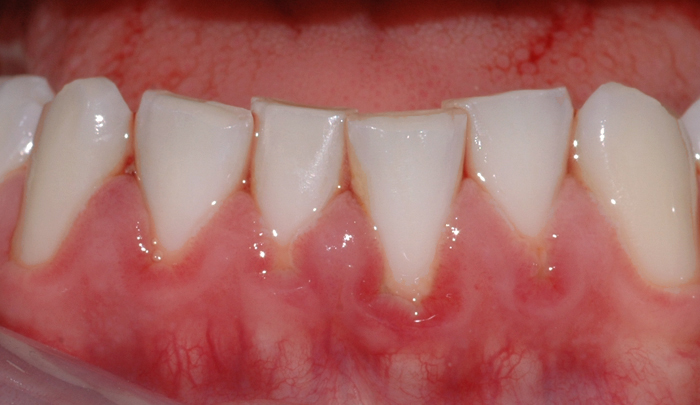
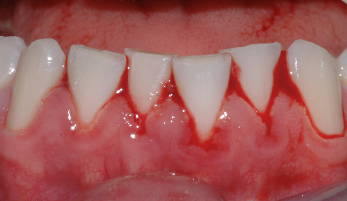
Et friskt tannkjøtt har lys rød farge og ligger stramt inntil tennene. Et betent tannkjøtt får en mørkere rødfarge, det blir hovent, kan føles ømt ved berøring og blør lett.

Hva er gingivitt?

Gingivitt er en betennelse i tannkjøttet (gingiva).

Tegn på gingivitt

Et friskt tannkjøtt har lys rød farge og ligger stramt inntil tennene (fig. I). Et betent tannkjøtt får en mørkere rødfarge, det blir hovent og kan føles ømt ved berøring. Videre vil man kunne oppleve at tannkjøttet blør ved rengjøring og at det ligger mindre stramt inntil tennene.

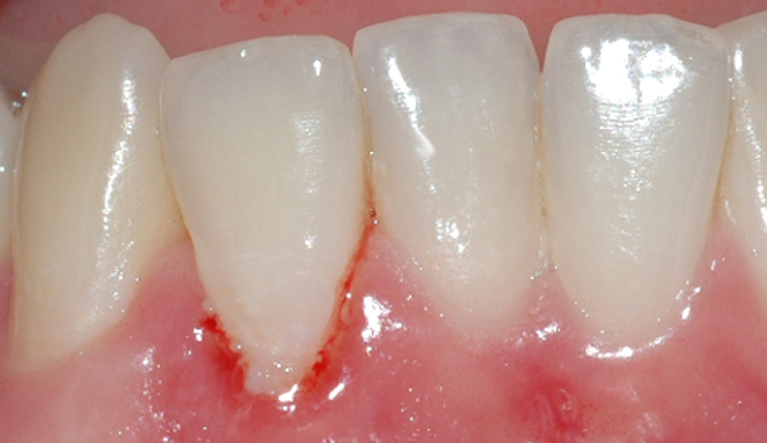
Fig 1: Et friskt tannkjøtt har lys rød farge og ligger stramt inntil tennene Fig 2: Mangelfullt renhold kan over tid føre til utvikling av gingivitt

Hvordan oppstår gingivitt?

Illustrasjon av tannbørste

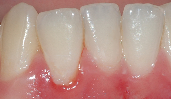
Mangelfullt renhold kan over tid føre til utvikling av gingivitt. Dette skyldes bakterier og mykt belegg (plakk) som blir liggende på tannen i kontakt med tannkjøttet (fig. II). Om man har mye tannstein, vil også dette kunne medvirke til utvikling av gingivitt. Gingivitt oppstår lettest mellom tennene og ellers der det er vanskelig å holde rent.

Hvordan kan man forhindre gingivitt?

Gingivitt er en reversibel tilstand og grundig renhold kan gjøre tannkjøttet friskt igjen:Illustrasjon av tanntråd

  • Børst tennene grundig med tannkrem morgen og kveld. Det er særlig viktig å fjerne belegget som ligger nærmest tannkjøttet. En slitt tannbørste er lite effektiv. Bytt derfor børsten når busten begynner å sprike.
  • Mye plakk og bakterier samler seg mellom tennene. Rengjør derfor mellom tennene minst en gang per dag. Dersom tennene står tett, vil tanntråd være et effektivt hjelpemiddel. For å komme til mellom jekslene, kan det med fordel brukes en tanntrådholder. Ved større mellomrom mellom tennene, vil mellomromsbørster egne seg best. Disse kommer i ulike størrelser og brukes på tilsvarende måte som tannstikker.
  • Rutinemessig tannrengjøring hos tannlege eller tannpleier er også nødvendig for å sikre friske forhold i tannkjøttet. Hvor ofte dette bør gjøres er individuelt og avhenger av hvor fort plakk og tannstein dannes.