Periodontitt

Periodontitt er en betennelse i tennenes støttevev og kan føre til at tenner løsner og må fjernes.

Hva er periodontitt?

Periodontitt er en betennelse i tennenes støttevev. Betennelsen kan skyldes dårlig munnhygiene og gjør at kjevebenet rundt tennene brytes ned. Om tilstanden ikke behandles, kan det føre til at tenner løsner og må fjernes.

Tegn på periodontitt

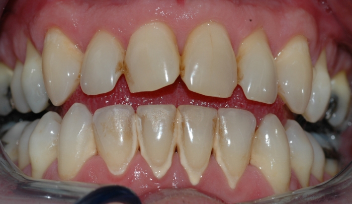
Omlag 10 % av den voksne befolkning utvikler alvorlig periodontitt. Ved periodontitt er det få subjektive symptomer. Enkelte vil likevel kunne oppleve dårlig ånde og blødning fra tannkjøttet. Tannkjøttet vil også være noe ømt og hovent. Senere i sykdomsforløpet vil tenner kunne bli løsere, og eventuelt flytte på seg.

Utviklingen av periodontitt

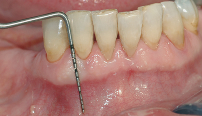
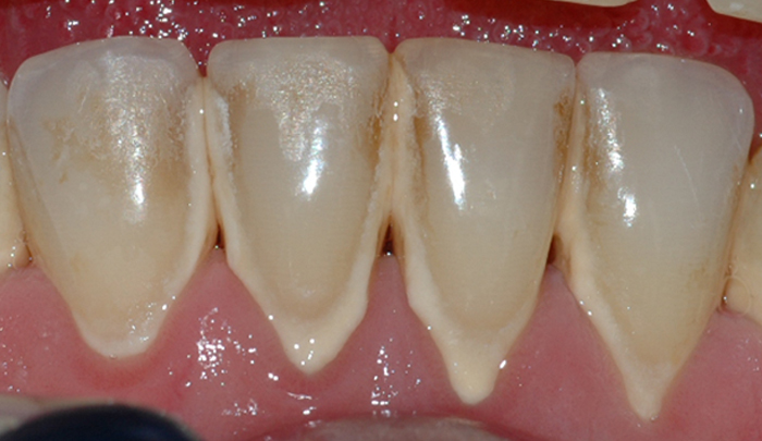
Mangelfullt renhold kan gi en overfladisk betennelse i tannkjøttet (gingivitt). Tannkjøttet blir da hovent og får en mørkere rødfarge. Det vil også blø ved berøring og føles ømt. Dette skyldes bakterier og mykt belegg som blir liggende langs tannkronen (fig. I).

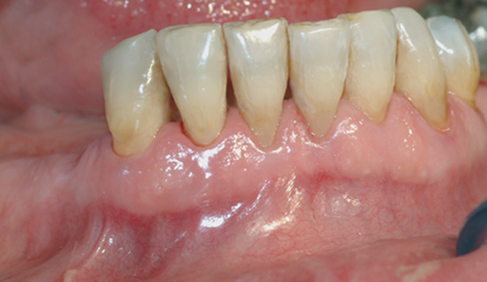
Fig 1: Mangelfullt renhold kan over tid føre til utvikling av gingivitt Fig 2: Tannstein forsterker betennelsen som fører til at benet rundt tennene brytes ned Fig 3: Tannstein og bakteriebelegg vil kunne strekke seg stadig lenger ned langs rotoverflaten Fig 4: Beintapet kan over tid bli så omfattende at tenner løsner og eventuelt må fjernes

Dersom belegget ikke fjernes, vil det over tid forkalkes og bli hardt. Det er dette vi kaller tannstein. Tannstein forsterker betennelsen som fører til at benet rundt tennene brytes ned (fig. II). På denne måten vil tannstein og bakteriebelegg kunne strekke seg stadig lenger ned langs rotoverflaten (fig. III). Beintapet kan over tid bli så omfattende at tenner løsner og eventuelt må fjernes (fig. IV).

Normalt går det mange år før en tann går tapt som følge av periodontitt. Av og til opplever man likevel hurtig nedbrytning av tannfestet. Dette skyldes spesielle bakterier og det kan i slike tilfeller ofte være nødvendig med antibiotika som en del av behandlingen.

Behandling av periodontitt

Illustrasjon av kalender og tannlegeutstyr

Tannlege eller tannpleier starter med en grundig undersøkelse der sykdommens alvorlighetsgrad kartlegges. Det lages deretter et individuelt tilpasset behandlingsopplegg.

God munnhygiene er en forutsetning for at behandlingen av periodontitt skal bli vellykket. Behandlingen vil derfor innledes med hygieneopplæring. Det blir da demonstrert korrekt børsteteknikk og gitt opplæring i bruk av hjelpemidler for renhold mellom tennene.

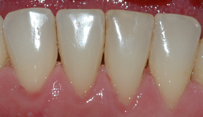
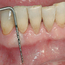
Neste behandlingstrinn består i å fjerne belegg og tannstein fra tennenes rotoverflate. Målet er å etterlate glatte rotoverflater slik at det blir lettere å holde tennene rene.Illustrasjon av tannbørste

Behandlingen er tidkrevende og strekker seg vanligvis over flere tannlegebesøk. I enkelte tilfeller kan det være nødvendig med kirurgisk behandling for å få tilgang til rotoverflatene og kontroll over periodontitten.

Plakk og tannstein dannes hele tiden. Etter endt behandling vil det derfor være nødvendig med oppfølgende kontroller og vedlikeholdsrens av tennene for å holde periodontitten i sjakk. Munnhygienen må kontrolleres, og instruksjonen må gjerne repeteres.

Selv om periodontittbehandlingen utføres korrekt og etter beste evne, kan man ikke utelukke at tenner likevel går tapt på sikt.

Andre forhold ved periodontitt

  •  Illustrasjon av mellombørster

    Det er påvist at røyking fremskynder utviklingen av periodontitt og gir et dårligere behandlingsresultat. Det er derfor anbefalt å slutte å røyke.
  • Stress, nedsatt immunforsvar, enkelte sykdommer og medisinbruk kan gjøre at nedbrytningen av kjevebeinet skjer raskere. Arv er også en viktig faktor. Vær derfor ekstra oppmerksom dersom du vet at andre i familien har hatt problemer med tannkjøttet.
  • Etter folketrygdloven § 5-6 kan det gis stønad til systematisk behandling av periodontitt. Det kan også gis stønad til å erstatte tenner som er gått tapt som følge av periodontitt.